Case History
A 24-year-old female with left axillary lymphadenopathy.
Which IHC marker best distinguishes the cells in Images 3 and 4?
A. CD30
B. CD15
C. CD20
D. CD3


Answer
A. CD30
Discussion
The lymph node shows extensive dermatopathic and other reactive changes with partial involvement by classic Hodgkin lymphoma (CHL), confirmed by immunohistochemical studies.
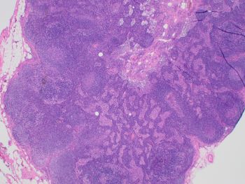
Images 1 and 2 show an enlarged lymph node with mostly intact architecture and marked paracortical expansion with pale staining areas. The expansion is mostly nodular. Although, areas of diffuse paracortical expansion are seen, such as on the left side of image 2. Images 3 and 4 show pale staining areas at high power magnification from different parts of the lymph node. Image 3 shows Langerhans and interdigitating dendritic cells with mostly small lymphocytes in the background. Image 4 shows Reed Sternberg cells with a mixed background of histiocytes, small lymphocytes, eosinophils, and plasma cells.
CD30 is positive in the Reed Sternberg cells of CHL and negative in Langerhans/dendritic cells. CD15 is not as helpful since it is negative in about 1/4 of CHL. CD20 is usually negative in CHL and would not help distinguish. CD3 would be negative in both, and both would show a similar background rich in T-cells.
CHL is part of the differential diagnosis for dermatopathic lymphadenopathy (DL). The pale areas can resemble the Reed Sternberg cells and histiocytes of CHL and vice versa. An added challenge is when CHL shows an interfollicular growth pattern (seen in this case) without marked distortion of the lymph node architecture. provides an extra challenge in showing relatively preserved nodal architecture. High power examination of the pale areas for Reed Sternberg cells will distinguish the two with immunohistochemical studies performed if needed (CD15, CD30, PAX5, CD45, etc.).
This case presents a situation where DL is not just a mimic of CHL, and the lymphoma be overlooked without thorough examination of the entire lymph node.