Case History
A female in her mild-fifties presented for evaluation of jaundice with a pancreatic mass. A CT scan showed a pancreatic head mass measuring approximately 6 cm and a Whipple procedure was performed.
What is the diagnosis?
- High grade sarcoma
- UC with osteoclast-like giant cells
- Anaplastic undifferentiated carcinoma (UC)
- Poorly differentiated carcinoma


Answer is C: Anaplastic undifferentiated carcinoma of the pancreas
Discussion:Per WHO Classification of Tumours Editorial Board: Digestive System Tumours 2019, undifferentiated carcinoma (UC) of the pancreas is defined as “a malignant epithelial neoplasm in which a substantial component of the neoplasm does not show a definitive direction of differentiation.” Morphologically UC has three subtypes including anaplastic undifferentiated type, sarcomatoid type, and carcinosarcoma.
Anaplastic type consists of solid sheets of cells lacking gland formation and showing marked pleomorphic nuclei. Sarcomatoid type shows tumor cells with spindle cell morphology with/without heterologous elements (e.g., bone and cartilage). Loss of INI1 by immunohistochemistry is characteristic. Carcinosarcoma contains a biphasic pattern, both sarcomatoid elements and apparent epithelial neoplasm (e.g., conventional adenocarcinoma). Each component should constitute approximately 30% of the neoplasm.
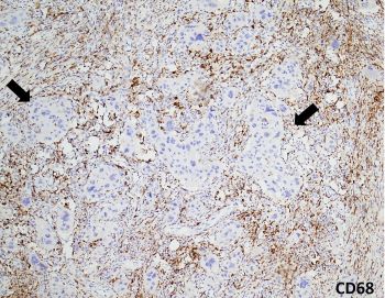
In this case, Figures 1 (low power) and 2 (high power) showed non-cohesive, markedly pleomorphic cells (arrows) lacking gland formation in a background of prominent neutrophilic and bland-appearing spindle cells with no obvious mitosis.Immunohistochemically these pleomorphic cells are positive for pan-cytokeratin and cytokeratin 7 (Figure 3); negative for CD68(arrows in Figure 4) and CD163. INI1 is retained. With absenceof osteoclast-like giant cells, a diagnosis of anaplastic undifferentiated carcinoma was rendered.The prognosis of UC is very poor (average survival of 5 months).
Of note, undifferentiated carcinoma with osteoclast-like giant cells (UC-OGC) is a separate entity and contains three cell components: non-neoplastic osteoclast-like multinucleated giant cells (positive for CD68), a mononuclear histiocytic component, and the neoplastic mononuclear cell component.Compared to UC, the clinical behaviorof UC-OGC is unpredictable and the survival varies from few months to many years.
References:
WHO Classification of Tumours Editorial Board. WHO Classification of Tumours of the Digestive System. 5th ed. Lyon: International Agency for Research on Cancer. 2019;328–30.
Demetter P et al. Undifferentiated Pancreatic Carcinoma With Osteoclast-Like Giant Cells: What Do We Know So Far? Front Oncol. 2021 Mar 5;11:630086.