Explore UAB

Case History

Patient history: 

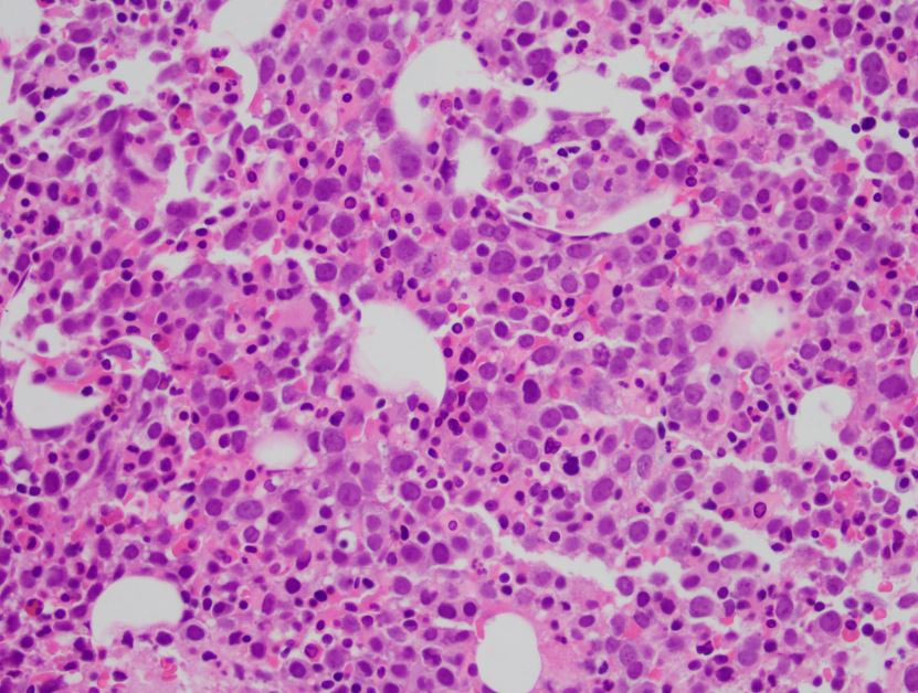
The patient is a 72 year old male with a history of HCC and plasmacytoma. The erythroid lineage is estimated at 82% with 32% pronormoblasts and 1% myeloblasts. E-cadherin and PAS stains are pictured. What is the best diagnosis?

What is the diagnosis?

  1. Multiple myeloma
  2. AML-NOS
  3. MDS-SLD
  4. Metastatic HCC

 WIN 20201023 14 55 38 Pro WIN 20201023 14 56 49 Pro 
Pic 3 Pic 4

The correct answer is B, AML-NOS.

This case meets the criteria for pure erythroid leukemia, a subtype of AML-NOS. In a pure erythroid leukemia, the erythroid lineage must comprise >80% of cells with >30% pronormoblasts. Myeloid blasts must not comprise a significant proportion of the marrow. If myeloblasts are increased to >5%, cases are classified as MDS with excess blasts. If myeloblasts are >20%, cases are classified as AML with myelodysplasia-related changes. Pure erythroid leukemia is a rare entity that is more common in patients with a preexisting MDS or as a therapy-related disease. Morphologically, there is dysplasia in the erythroid lineage cells present, often with PAS-positive cytoplasmic vacuoles, as in this case. The pronormoblasts are positive for CD71, E-cadherin, CD117, and negative for HLA-DR and CD34. Flow cytometry may not be helpful, as the erythroid lineage is lysed prior to analysis.

Case contributed by: Jeffrey Jones, M.D., Hematopathology Fellow