Case History
A 36 y/o AA male with emphysema and tobacco use, and a new large paramediastinal mass, which underwent FNA. What is the diagnosis?
- Squamous cell carcinoma
- Poorly differentiated adenocarcinoma
- High-grade lymphoma
- SMARCA4-deficient thoracic sarcomatoid tumor

The answer is “D”, SMARCA4-deficient thoracic sarcomatoid tumor.



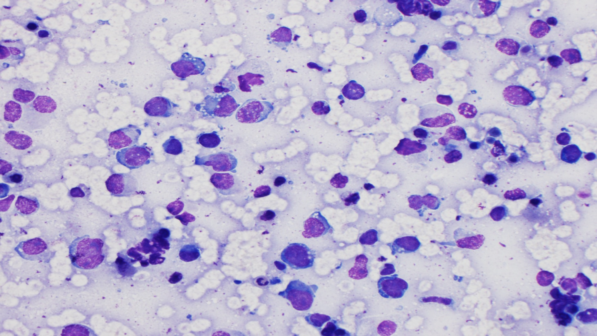
The specimen is highly cellular and consists of medium to large-sized atypical cells with moderate amounts of basophilic cytoplasm, prominent nucleoli and macronucleoli, some binucleation and multinucleation, and some plasmacytoid and rhabdoid morphology, present singly in a background of lymphocytes. Necrosis and mitotic figures are readily identified.
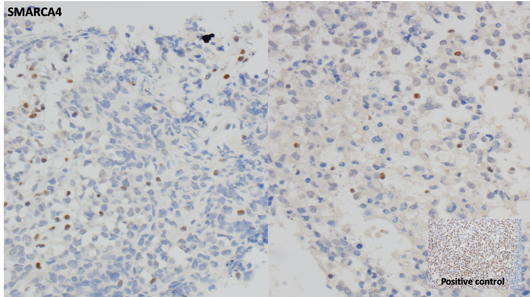
Immunohistochemical stains were performed on this case. The cells were positive for TTF-1 (rare cells, focal), and negative for keratin cocktail, 34BE12, Cam5.2, Sox10, PLAP, OCT3/4, desmin, CD138, and NUT. Additionally, there was loss of SMARCA4, consistent with a SMARCA4-deficient thoracic sarcomatoid tumor.
SMARCA4-deficient sarcoma was first described by Le Loarer et al as thoracic tumors characterized by undifferentiated round cell or rhabdoid morphology and SMARCA4 mutations with concomitant loss of expression. At the transcriptional level, these tumors were found to closely resemble malignant rhabdoid tumors and small cell carcinomas of the ovary, hypercalcemic type. Subsequent studies, including the largest series by Rekhtman et al, have found that these SMARCA4-deficient thoracic sarcomas are histogenetically related to smoking-related undifferentiated carcinomas rather than primary thoracic sarcomas.
Morphologically, the cases can have sarcomatoid (undifferentiated round cells/rhabdoid) appearance, and can also have areas of conventional non-small cell carcinoma. Hallmarks of round cell morphology are discohesive round to oval cells with prominent nucleoli and overall monomorphism despite being overtly high grade; rhabdoid cells with distinctive hyaline cytoplasmic inclusions can be admixed.
References
F. Le Loarer, S. Watson, G. Pierron, et al. SMARCA4 inactivation defines a group of undifferentiated thoracic malignancies transcriptionally related to BAF-deficient sarcomas. Nat Genet, 47 (2015), 1200-1205.
Rekhtman N, Montecalvo J, Chang JC, et al. SMARCA4-deficient thoracic sarcomatoid tumors represent primarily smoking-related undifferentiated carcinomas rather than primary thoracic sarcomas. J Thorac Oncol. 2019;15(2):237-247.
Case contributed by: Frida Rosenblum, MD, Assistant Professor, Anatomic Pathology