On this page are a few examples of special processing & embedding done in the CPL.
Sainte-Marie processing for immunohistochemistry
Fixation in cold ethanol and hand processing for IHC (Sainte-Marie G. A paraffin embedding technique for studies employing immunofluorescence. J Histochem Cytochem 10:250-256, 1962)
Colitis models for inflammatory bowel disease research
For these projects, the colon is opened, cut into proximal, middle, and distal segments, and the proximal end of each segment is marked with India ink. The segments are fixed in cassettes using one biopsy pad to prevent curling. After fixation, each segment is trimmed into two strips, which are then embedded with proximal, middle, and distal segments placed side by side in the block. This allows the location and distribution of affected areas to be determined and provides good perpendicular sectioning for evaluation of colitis severity.
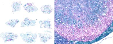
Experimental autoimmune encephalomyelitis (EAE)
Here the spinal column is fixed intact, demineralized, and trimmed into 2 mm thick segments. Segments are positioned in casettes in 3 x 3 arrays between biopsy pads for processing, and are embedded as positioned at trimming. This allows the distribution of lesions over the length of the spinal cord to be determined