Explore UAB

Most people with NF2 develop symptoms during their late teens or early 20s; however, 10 percent of people experience symptoms during late childhood. The most common symptoms of NF2 include:

  • Tinnitus (ringing in the ears)
  • Gradual hearing loss
  • Balance problems

Additional symptoms of NF2 can include facial weakness, headache, changes in vision, weakness of part of the body, pain, and sensory loss. Cataracts or other types of eye problems can also develop in people with NF2. Juvenile cataract is sometimes the first recognizable symptom of NF2 in childhood.

Schwannomas

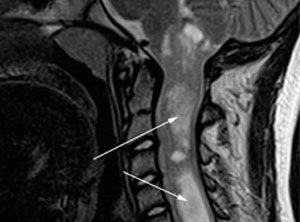
A primary clinical feature of NF2 is the development of schwannomas, tumors that grow along the nerve sheath. These tumors develop from Schwann cells, which support and protect nerve cells and serve as insulation needed to conduct information. Schwannomas that develop on cranial nerves (such as the eighth cranial nerve or the fifth cranial nerve) affect the head and neck. Tumors that develop on nerves that exit the spinal cord can cause weakness and numbness in the arms or legs. Peripheral schwannomas – tumors that develop in tiny nerves in the skin – usually don’t cause neurological problems but may present a cosmetic concern.

Other types of tumors that can develop with NF2 include:

  • Multiple meningiomas (tumors of the membrane surrounding the brain and spinal cord). These tumors can cause headache, seizures, or impaired neurological function due to pressure on the brain or spinal cord.
  • Ependymomas (tumors that develop from cells that line the ventricles of the brain and center of the spinal cord). These tumors often are asymptomatic, though they may cause pain, numbness, or weakness in some cases.