Explore UAB
Annual Report February 03, 2026

The UAB Department of Microbiology has long been a powerhouse of basic and translational research and was ranked 12th in NIH research funding by the Blue Ridge Institute for Medical Research (BRIMR) in their 2024 rankings. The department built on this record of excellence in 2025, publishing cutting-edge research and enhancing its reputation nationally and internationally.

Millions of Americans who acquired COVID-19 experience persistent respiratory symptoms—including breathlessness, coughing, and chest pain—lasting over three months, known as long COVID. A study led by researchers at UAB and the University of North Carolina at Chapel Hill revealed a previously underappreciated mechanism by which SARS-CoV-2 infection contributes to long-term lung damage. The study, published in Nature Microbiology, demonstrates that SARS-CoV-2 uniquely induces the formation of foam cells—lipid-laden macrophages with pro-fibrotic and pro-thrombotic properties—in human lung tissue, which may actively contribute to the lung damage seen in COVID-19. Importantly, the study shows that early treatment with the antiviral EIDD-2801, or molnupiravir, can prevent foam cell formation and reduce fibrosis markers, offering a potential therapeutic strategy.

When the human immune system is not working properly, even minor pathogens can cause severe disease. A paper published in Immunity investigates the role of the transcription factor T-bet in regulating effector memory B cells (eMBCs) in lymph nodes and lungs following influenza infection. Using state-of-the-art techniques, UAB investigators identified a subset of T-bet–expressing nucleoprotein-specific memory B cells that are transcriptionally primed for rapid antibody secretion. The researchers demonstrated that sustained T-bet expression is essential for the persistence and differentiation of CD80 single-positive eMBCs and for effective recall responses at mucosal sites. The findings suggest that T-bet not only marks but also functionally programs eMBCs to mount swift and localized antibody responses upon re-exposure to pathogens, offering insights into enhancing vaccine design and long-term immunity. 

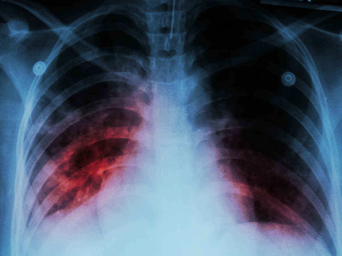
Tuberculosis (TB) kills more than a million people each year, making it the world’s leading infectious cause of death. When it was introduced in 2012, bedaquiline was the first new TB drug in over 40 years and remains a cornerstone of regimens for drug-resistant tuberculosis. Unfortunately, clinical Mycobacterium tuberculosis strains rapidly become resistant to bedaquiline, mainly by overexpression of the transport protein MmpL5.

As reported in Nature Communications, UAB Microbiology researchers and colleagues from the University of Zurich have solved the structure of the MmpL4 efflux pump, a close relative of MmpL5, in Mycobacterium tuberculosis, shedding light on how the bacteria become resistant to bedaquiline. Finding a way to disable the efflux transporters of M. tuberculosis with an inhibitor could restore microbial sensitivity to antibiotic bedaquiline, transforming treatment of drug-resistant tuberculosis.

The Heersink School of Medicina and the Department of Microbiology were among the sponsors that brought the annual meeting of the International Committee on Taxonomy of Viruses (ICTV) to Birmingham for the first time July 28-20, 2025. Global experts in virology gathered at UAB to review hundreds of proposals for virus classification and naming. Once approved by the Executive Committee, the proposals are submitted to the full ICTV membership for final ratification.


Subscribe to Heersink
School of Medicine News

Subscribe to Heersink School of Medicine News